新闻中心

News Center

您所在的位置 首页 > 新闻中心 > 健康科普
新闻中心

发现即晚期的“癌症之王”,警惕这六个信号

发布时间:2024.01.03 发布人:管理员 来源:河南省直三院 浏览次数:3379



前几天,我国著名流行病学专家吴尊友因胰腺癌去世的消息刷屏了各大新闻网络,让人感到悲痛的同时,也很震惊。

这可是医学专家,也会得癌症?

是的,对于胰腺癌来说,那可是众生平等。

例如:“苹果之父”乔布斯和诺贝尔奖获得者斯坦曼,都死于不同类型的胰腺癌(如乔布斯患的是胰腺神经内分泌肿瘤);

著名男高音帕瓦罗蒂、香港明星沈殿霞也都因胰腺癌失去生命……

图片



什么是胰腺癌?严不严重?在所有的癌的致死率里处于哪种层次?

今天,让我们来浅谈一下胰腺癌,认识一下这个似乎很远却又鼎鼎大名的癌症。


图片

(胰腺与胰腺癌)

01

什么是胰腺癌?

  在医学界,胰腺癌有一个响当当的名号—“癌症之王”。

  谈“胰”色变,不仅普通人听了可能会带来心理重创:开不了刀,吃不了药,确诊后数月内即死亡。

  对医务人员来说,如果怀疑患者是胰腺癌,也会突然神情凝重:它起病隐匿,早期诊断困难、进展迅速、生存时间短,是预后最差的恶性肿瘤之一,被称为“癌症之王”。

图片

  据柳叶刀杂志记载,胰腺癌确诊后的五年生存率约10%,是预后最差的恶性肿瘤之一。

  胰腺癌临床症状隐匿且不典型,是诊断和治疗都很困难的消化道恶性肿瘤,约90%为起源于腺管上皮的导管腺癌。

  其发病率和死亡率近年来明显上升。胰腺癌早期的确诊率不高,手术死亡率较高,而治愈率很低。据统计,2020年中国胰腺癌新发病例数为12万,死亡人数也是12万。

  本病发病率男性高于女性,男女之比为1.5~2:1,男性患者远较绝经前的妇女多见,绝经后妇女的发病率与男性相仿。吸烟是目前唯一被公认的高危因素。胰腺癌诊治困难主要在于其起病隐匿、转移迅速。

02

胰腺癌的超声表现有哪些?

  早期诊断是提高胰腺癌患者生存率的关键。目前临床主要依据上腹部增强CT帮助诊断胰腺癌。

  (一) 声像图特征

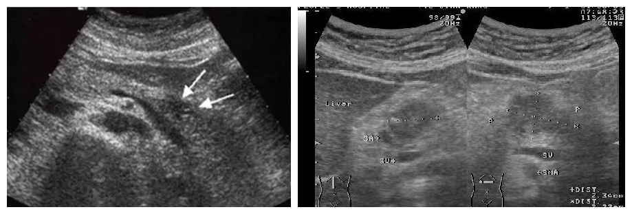
  1.在胰腺癌所在部位的胰腺内出现低回声肿块,边界不整齐,轮廓不清晰,肿瘤常向周围组织呈“蟹足样”浸润。肿瘤较大时,癌瘤中心产生液化、坏死而呈混合性肿块。

图片

  2.胰腺癌压迫周围脏器及血管,亦可压迫胆管、胰管引起梗阻。

  3.晚期胰腺癌,肝内出现转移性肿瘤,胰腺周围、腹主动脉旁出现转移性淋巴结肿大及腹水。

图片

(右图为胰腺癌肝内转移)

  (二) 超声检查的临床意义

  超声对于肿块大于1cm并向胰腺外突出的胰腺癌诊断的正确率较高,但对于肿块小于1cm且不向胰腺外突出的胰腺癌,尤其是胰腺钩突癌、胰体、尾癌诊断的敏感性和特异性均较差。虽然如此,但是由于胰头癌在整个胰腺癌中占3/4,而且超声具有灵活简便,无辐射、费用低廉等众多优点,所以仍然是作为诊断及早期胰腺癌筛选的首选方法之一。

03

警惕6个胰腺癌早期预警信号

  1. 食欲差

  胰腺癌患者通常会表现为食欲差,越油腻的东西越不想吃,包括核桃、奶酪、炸鸡、红烧肉、蛋糕甜品等高蛋白、高脂肪食物。

  2. 饱胀感

  胰腺是消化系统的重要器官,它出现了问题就会导致消化不良、饱胀感。

  3. 大便次数增多

  大便习惯的改变也是胰腺癌的一个信号。

  4. 体重莫名下降

  一般而言,人的体重波动不会太大。所以如短时间内出现了比较明显的体重下降,这可能胰腺癌的重要信号。

图片

  5. 血糖突然变化

  糖尿病是由于胰岛素分泌不足,而胰岛素的分泌与胰腺有很大的关系,所以当突然出现血糖升高的症状时,则可能是胰腺出现了问题。

  6. 突发胰腺炎

  突发胰腺炎,有可能是胰腺肿瘤引起的,需要提高警惕。

04

怎样预防?

  如何有效地预防胰腺癌的发生,主要是通过改变生活方式和保持健康习惯来减少患病的风险。以下是一些预防胰腺癌的建议:

  1. 不吸烟:

  吸烟与胰腺癌之间存在密切的关联,所以戒烟是最重要的预防措施。

  2. 饮食健康:

  多摄入水果、蔬菜以及全谷类食物,减少高脂肪、高糖和加工食品的摄入,保持均衡饮食。

  3. 控制体重:

  肥胖是一种独立的胰腺癌危险因素,保持适当的体重对预防胰腺癌非常重要。

  4. 均衡饮酒:

  过量饮酒会增加胰腺癌的风险,所以限制酒精的摄入。

  5. 避免暴露于化学物质:

  尽量避免接触有害的化学物质,如苯、染料和石油产品。

  6. 控制糖尿病:

  如果已经被诊断为糖尿病,要积极治疗和控制血糖水平,因为糖尿病与胰腺癌的关联性较强。

  7. 健康生活习惯:

  保持适度的体育锻炼和减压活动,有助于增强免疫力和减少患病风险。

  8. 定期体检:

  对于有胰腺癌家族史、慢性胰腺炎、胃黏膜腺病等高危人群更需要警惕患胰腺癌的风险,定期体检以及咨询医生提供专业的建议。

  9. 积极治疗胰腺疾病:

  胰腺炎、胰管结石等胰腺疾病若得不到及时治疗,可能会增加患胰腺癌的风险。

图片

05

返回列表