突发!怀孕24周的准妈妈下不了床……
发布时间:2024.08.26
发布人:管理员
来源:河南省直三院
浏览次数:1009
在等待新生命降临的日子里
都是怀着欣喜又期待的心情
然而在等待的幸福时刻
突然发生了烦心事

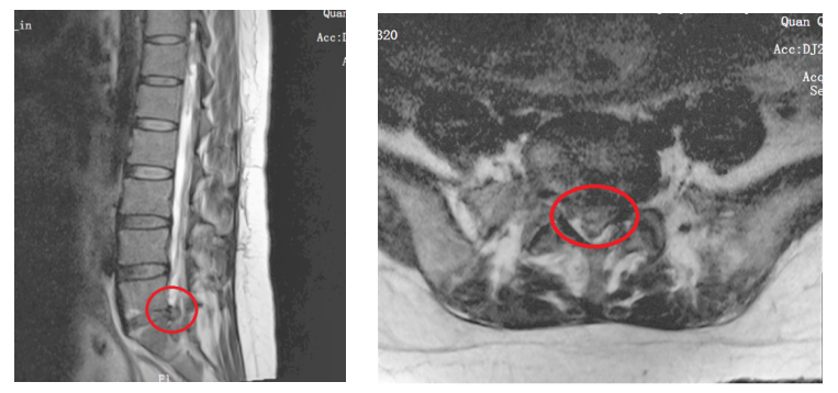
近日,河南省直第三人民医院脊柱微创外科由急诊120送来一位孕妇,一直喊着腰疼腿疼。原来王女士(化名)深受腰椎间盘突出的折磨,已经在床上躺了半个多月,天天腰腿疼的睡不着觉。王女士在怀孕4个月时,腿部感觉稍微有点疼,以为是孕期缺钙,就没在意。半个月前一个早上,突然腿疼加重,去医院检查发现,腰椎退行性改变,腰5-骶1椎间盘脱出。当地镇上医生建议先静养,虽说休息了一段时间稍微有所减轻,但腿疼的还是不能站、不能走,也不能坐,只能躺着,即便是躺在床上腿也是抽筋一样的疼,疼的日夜难眠,并且出现了大小便异常的情况。
看着王女士痛苦的样子,老公带着她去了当地县医院。医生说现在孕妇已经出现了会阴部麻木、大便异常的马尾神经症状,需要尽快手术,建议先打掉孩子再手术。对这个家庭来说,这是他们的第一个孩子,自然是万分不舍。王女士和家人坚持要保住孩子,当然病也要治。经多方打听,了解了河南省直第三人民医院治疗腰椎间盘突出很有名气,她和家人决定试试看。于是在当地医院的帮助下,紧急送至郑州。王女士入院后经过相关检查,发现胎儿一切正常,在妈妈的腹中健康成长,此时还没有受到牵连。但是孕妈妈合并腰椎间盘突出,突出的椎间盘长期压迫神经根会引起神经根不可逆损伤,出现下肢肌力下降,肌肉萎缩,大小便费力或失禁等并发症。再加上孕妈妈长期处于疼痛状态,还可能引发胎儿早产等情况。手术势在必行,但是为孕妇做手术,难度极大,风险重重。该如何治疗,既能驱除病痛又减少对胎儿的影响呢?常规来说,全可视脊柱内镜治疗王女士的椎间盘脱出完全没问题,但是,术前评估及术中定位操作时不可避免的高剂量的射线暴露,可能会对胎儿产生不利影响。 
脊柱微创外科二病区主任马海军立刻组织医院妇产科、麻醉手术部及超声科共同会诊,科室的各位专家从专业角度为治疗方案出谋划策。在医院相关科室的共同努力下,马海军主任带领团队给予彩超下定位,局部麻醉,在零透视的情况下,行全可视脊柱内镜微创手术,对胎儿没有任何影响,手术顺利完成。

突出的髓核(罪魁祸首)

在手术室门口等待的老公,看见媳妇从手术室里走出来非常激动。“现在一点也不疼了,你看,没事儿了,我可以走路了。”王女士抱着老公激动地说,“终于可以正常走路,睡个安稳觉了”。术后休息几天后,王女士安心回家休养,等待着新生命的降临。据马海军主任介绍,利用超声术前定位,找到脊柱间隙,通过掌握的脊柱外科专业解剖结构知识和脊柱内镜的熟练操作技术,在镜下一步一步从皮下到椎板,整个结构完全充分的暴露出来,打开黄韧带,看到了整个脱出游离的椎间盘组织,对神经根硬膜囊达到一个充分减压,精准定位,避免射线对孩子的影响,保证了孩子的安全,同时也解决患者的病痛。目前,孕妇合并椎间盘突出症的概率较高,正常人椎间盘突出症发病率约10%至20%,孕妇的发病率更高,但也不是每个人都有症状。孕妇高发的主要原因是在怀孕期间整个腰部肌肉、韧带系统处于松弛状态,随着孕周的增大,腰骶部承受的重量比平时更加大,这就增加了腰椎间盘突出的风险。另外,孕期弯腰或者做其他动作时,腰骶部的压力也会比平时更大,进而加重椎间盘突出。马主任建议,在怀孕之前已经有椎间盘突出症状的女性,应进一步检查明确诊断,进行保守治疗或外科手术治疗,恢复到正常状况后再怀孕,避免孕期加重腰椎间盘突出。如果孕期出现腰腿痛,在专科医生指导下,可先进行卧床休息、热敷、理疗等保守治疗。如果保守治疗效果不理想,严重影响生活质量,经过多学科专家综合评估后,再进行手术治疗。