新闻中心

News Center

您所在的位置 首页 > 新闻中心 > 健康科普
新闻中心

一个大家都认为的“小事”,他将面临全口牙齿脱落

发布时间:2024.03.29 发布人:管理员 来源:河南省直三院 浏览次数:1351

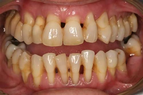
51岁男性患者

平素身体健康

无基础性疾病

但经常性牙龈出血红肿

口腔异味也非常明显

每次牙龈起脓包后口服抗生素

近日明显加重前来就诊

确诊为慢性牙周炎

但为时已晚

面临的问题全口牙齿的松动脱落


  其实牙周炎就是牙周组织生病后发出来的信号。首先是牙龈红肿、出血,这是病人主观上能够感觉到和观察到的,但是很多患者却因为这些症状没有疼痛感误认为对健康无害而忽略,导致发现牙周病的存在时病情已经较为严重。

  然后,逐渐了解之后,会发现“病从口入”,口腔疾病真的是“一夫当关万夫莫开”。

  大家是不是认为牙周炎不可怕啊,那接下来我们就好好的了解一下牙周炎。

图片

图片


图片
什么是牙周炎?

  牙周炎主要是由局部因素引起的牙周支持组织的慢性炎症,最通俗的说法就是牙龈发炎了,牙周炎的发病年龄以35岁以后较为多见。最初表现为牙龈炎、牙龈红肿出血,如果牙龈炎未能及时治疗,炎症可由牙龈向深层扩散到牙周膜、牙槽骨而发展为牙周炎。

  由于早期既不疼痛也不松动,绝大多数人都容易忽视其危害,待有症状时已经比较严重,甚至牙齿也不能保留。因而必须加强宣教,使患者早期就诊。

图片



图片
牙周炎有哪些明显的症状?
01

牙龈出血

  1.刷牙出血是牙龈存在炎症的最早也是最易发现的症状。不论这种出血是间歇性的还是连续性的,是大量的还是少许的,是自发性的还是刷牙吃东西刺激性的,都代表着牙龈状况很不好,至少是患有牙龈炎症的,至于是否已累及到骨头,需要牙周医生的专业检查以便早治疗早控制。

图片

  2.还有一些牙周病患者的刷牙出血情况并不明显,比如长期吸烟的朋友,牙龈的颜色会比较苍白,质地也比较韧,出血倾向不明显。长期的科学研究已经表明,吸烟与牙周炎的关系甚为密切,它会促进炎症的发展,所以常规的牙周检查是预防和早治疗的关键。

图片

  3.持续性口臭。口臭是常见的口腔疾病,引起口臭的原因有很多,牙周炎是一个重要的原因。牙周炎会引起牙龈出血、组织发炎、致病菌产生的代谢产物都会造成口臭。

02

牙龈肿痛

  有个别位置的牙龈因为急性的炎症导致脓肿的产生,也会出现牙龈肿痛的症状。牙龈上长个“大包”就是牙周炎症导致的“牙周脓肿”,它往往代表了下面局部的骨头有快而大量的破坏,所以一定要早处理。

图片

03

牙龈发胀、痒或不适

  牙周病会导致牙龈肿胀,而一般情况下这种肿胀和破坏是不会产生疼痛的,所以我们叫它“沉默的杀手”。但是,有些患者会感觉牙龈的某个部位有胀痒感或不适感,甚至用牙签或用手指去触碰会有舒适感,这就代表你需要专业的牙周检查和治疗了。

04

感觉牙缝越来越大

  牙周病会引起牙龈和下方牙槽骨的退缩,导致牙间本应由牙龈和牙槽骨占据的空间暴露出来,使患者感觉牙缝越来越大。

05

牙齿松动甚至脱落

  牙齿的松动就是炎症严重到一定程度的表征,有些松动在治疗过后是可以缓解的,而有些则可能效果不明显,这样的牙齿在嚼东西时或多或少都会影响你的生活质量。当发现有个别牙齿自行脱落时,一定要及时进行牙周检查,口内其他牙的寿命就在你的一念之间。

06

牙齿尤其是上下前牙的移位

  有时牙齿的松动可能不很明显,但很多患者发觉自己的上牙或下前牙在一段时间内慢慢发生了位置的改变。比如门牙的中缝变大、门牙发生扭转,再比如下前牙出现了缝隙等等,这些都是牙周炎的症状。


图片


图片
牙周炎该怎么预防?

01

有效控制牙菌斑

  养成良好的卫生习惯,饭后一定要刷牙、嗽口,掌握三、三制的刷法(即每日刷3次,每次刷3分钟,要刷到牙齿的3个面),牙刷与牙齿呈45度角,顺牙体长轴上下刷。

提倡应用牙线去除牙间隙的菌斑,用含氟牙膏或抗牙石牙膏辅助刷牙去除牙菌斑,防止牙石牙垢的形成。

02

定期作口腔保健检查

返回列表